






Telecamera endorale OwandyCam
Semplificate la vostra immagine
Aggiornabile e portatile:
Con la sua facilità di integrazione nel vostro studio odontoiatrico, OwandyCam è sempre
a portata di mano. Grazie alla base di aggancio e alla connessione USB2, potete facilmente spostare e condividere la telecamera nei diversi studi.
Ergonomica:
Semplice da tenere in mano, OwandyCam è l’essenza di robustezza e finezza e può
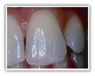
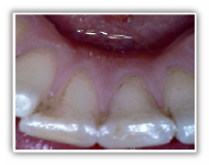
essere facilmente disinfettata grazie al suo semplice e raffinato design. I 6 LED dell’endoscopio assicurano una illuminazione efficace della bocca per la visione di immagini chiare ad elevato contrasto. La riproduzione dei colori è fedele e ottimizzata.
Didattica:
OwandyCam vi aiuta a condividere con i pazienti una reale ed esatta visione dello stato
della loro situazione dentale, un metodo eccellente per ottenere il loro consenso e accettare immediatamente i consigli suggeriti.
Intuitiva:
Ogni immagine puo’ essere archiviata nella cartella clinica del paziente per una facile
consultazione durante il follow-up delle cure . Inoltre, come tutti i prodotti della gamma Owandy, è completamente integrata nel software QuickVision by Owandy. Questa integrazione completa consente di risparmiare tempo durante la definizione delle diagnosi e delle cure del paziente.
L’interfaccia USB2 ottimizza la compatibilità con la connessione a tutti i modelli di computer. L’obiettivo grandangolare non richiede regolazione manuale, causa di imprecisione e perdita di tempo.
Consentendo l’acquisizione di immagini fino a 1280x1024 pixel, grazie al sensore CMOS da ¼ di pollice, OwandyCam offre il miglior rapporto funzionalità/qualità immagine.
La nuova telecamera intraorale di Owandy unisce i vantaggi del video e della più recente
tecnologia digitale. Compatta, comoda e completamente ergonomica, questa telecamera rivoluzionerà sicuramente la vostra attività.
owandy, rvg, krystal, krystal-x, easy, wi-fi, opteo, visteo, altis, i-max, i-touch,
i-max easy, i-max 3d, owandycam, real, real hi, real hi-t, dsx, dsx evo, i-max plus,
endorale, videocamera, telecamera, panoramico, auto focus, elios,
sensore, radiovisiografia, radiovideografia, centralina, digitale, digital, imaging,
ceph, teleradiografia, cefalometria, cone beam, tac,
2d, 3d, 2-d, 3-d,