









Owandy DSX Evolution
sensore digitale
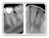
Una diagnosi pertinente
Una diagnosi pertinente, grazie all’estensione della superficie sensibile integrata.
Vantaggio del formato :20% di superficie sensibile supplementare rispetto a tutti gli altri sensori di identico formato.
Con i 730 mm2 del sensore CCD, ora è possibile acquisire all’istante magnifiche immagini Bitewing o spettacolari vedute peri-apicali.
Questa superficie supplementare, unica nel suo genere, fa di Evolution un sensore universale.
Un’ergonomia per il benessere dei vostri pazienti.
Dotato di un design anatomico, il sensore privilegia il confort dei vostri pazienti. I suoi specifici posizionatori ed un kit di adattatori per i centratori di Rinn, permettono di ottenere una qualità d’immagine ineguagliabile.
Un’alta qualità d’immagine riconosciuta nel mondo intero.
Eletto tra i migliori sensori digitali dal laboratorio di tests CRA*, il sensore Evolution è divenuto un riferimento internazionale per la sua altissima risoluzione (CDD 23,8 cpl/mm), e definizione delle immagini acquisite. (1 652 400 pixels con 4096 livelli di grigio).
Una sicurezza rinforzata.
L’igiene è prioritaria. Benché siano necessarie protezioni monouso per ogni paziente, il sensore EVOLUTION vi fa beneficiare, inoltre, delle norme sull’impermeabilità IPX7 per una sterilizzazione a freddo con una semplice immersione in un prodotto disinfettante.
L’irradiamento è dominato.
L’estrema sensibilità del sensore riduce del 90% l’irradiamento durante l’acquisizione della radiografia (0.06 sec).
Questa novità, rispetto alla radiologia convenzionale, da maggior sicurezza nelle operazioni radiologiche, sia a voi stesso che al personale del vostro studio.
La radiologia digitale si concilia con l’ecologia, sopprimendo le operazioni di smaltimento dei liquidi.
Un nuovo modo di vedere.
Fin dal posizionamento del sensore in bocca al paziente, voi acquisite in tempo reale un’immagine in formato grande ad altissima definizione.
Disponete di nuove possibilità di diagnosi con l’aiuto delle icone del programma QuickVision, solitamente in modo operatorio : effetto specchio, evidenza dei contrasti, zoom, filtro e misure endo-canalari.
Plug and Play : siete operativi all’istante.
La tecnologia Plug and Play semplifica la messa in funzione del sensore Evolution.
E’ sufficiente collegare il modulo USB al vostro PC, per trasformarlo in una potente postazione di radiologia diagnostica.
La vostra postazione radiologica vi offre tutti i vantaggi della radiologia digitale e diviene uno strumento efficace per la gestione delle vostre immagini.
Una gestione globale interattiva dello studio.
Le immagini acquisite vengono registrate con una semplice conferma, archiviate, affiancate, stampate e consultate in qualsiasi momento, compreso in modo pre operatorio.
Il programma QuickVision e evolutivo per la gestione globale delle immagini, ma anche collegabile ad un panoramico digitale o una telecamera endorale.
La facilità di gestione globale interattiva del vostro studio è la vostra nuova carta vincente.
owandy, rvg, krystal, krystal-x, easy, wi-fi, opteo, visteo, altis, i-max, i-touch,
i-max easy, i-max 3d, owandycam, real, real hi, real hi-t, dsx, dsx evo, i-max plus,
endorale, videocamera, telecamera, panoramico, auto focus, elios,
sensore, radiovisiografia, radiovideografia, centralina, digitale, digital, imaging,
ceph, teleradiografia, cefalometria, cone beam, tac,
2d, 3d, 2-d, 3-d,