






Kodak panoramico digitale Kodak 8000
Straordinariamente semplice, potente e conveniente
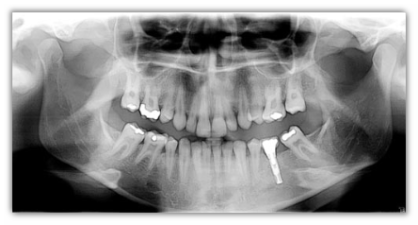
Epitomo della semplicità, il sistema KODAK 8000 realizza in pochi secondi immagini panoramiche con una nitidezza e un'esposizione ottimali. Grazie all'immediata disponibilità delle immagini extraorali, il sistema consente di formulare diagnosi accurate contestualmente all'esame e di comunicare facilmente le varie possibilità di trattamento ai pazienti.
Consigliato per normali esami dentari e valutazioni degli impianti, ma anche per chirurgie del cavo orale, quali ad esempio pianificazioni delle estrazioni, esami del rapporto corona-radice nonché dell'articolazione temporomandibolare.
Semplice come contare fino a tre
Utilizzate il sistema KODAK 8000 per ottenere immagini panoramiche digitali nitide, che consentono di formulare diagnosi precise. Dalle immagini dell'articolazione temporomandibolare a quelle seno-mascellari, l'intuitiva unità radiografica per immagini panoramiche digitali produce l'immagini di elevata qualità, necessaria per garantire diagnosi accurate direttamente in clinica, senza tempi di attesa. Possiamo affermare che si tratta di uno dei sistemi di imaging panoramico più facili da usare e convenienti oggi disponibile.
Il sistema KODAK 8000 offre le seguenti opzioni di imaging:
• Articolazione temporomandibolare (2 o 4 viste)
• Panoramica
• Panoramica segmentata
• Seno mascellare
Espandete le funzionalità diagnostiche del vostro sistema KODAK 8000 con l'opzione cefalometrica digitale.
trophy, kodak, rvg, stv,stv pro, rvg 5 gold, rvg access, rvg ultimate, 5100, 6100,
endorale, videocamera, telecamera, trophypan, trophypan c, digipan, panoramico,
sensore, radiovisiografia, radiovideografia, centralina, digitale, digital, imaging,
fosfori, 8000, k8000, 8000c, k8000c, ceph, teleradiografia, cefalometria, cone beam, tac,
2d, 3d, 2-d, 3-d, 9500, k9500, 9000, k9000, 7000, k7000,