














Gendex panoramico digitale Orthoralix 9200 DDE
Orthoralix 9200 DDE - Evoluzione Digitale Diretta
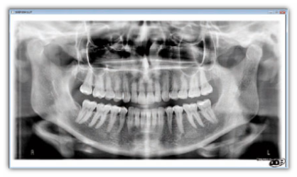
Orthoralix 9200 DDE, l'evoluzione digitale diretta del sistema panoramico Gendex Orthoralix 9200, consente di visualizzare sullo schermo del proprio PC tutte le proiezioni panoramiche, dento-maxillo facciali, Transcan e cefalometriche in tempo reale e con la miglior qualità digitale.
Una diagnostica più precisa, più veloce e nella completa sicurezza
Semplice posizionamento del paziente, correzione in tempo reale dei fattori espositivi (AEC), immagini radiografiche di straordinaria qualità digitale acquisite con la massima semplicità, in assoluta sicurezza e con una considerevole riduzione della dose impartita al paziente, assicurano alta qualità nei risultati diagnostici.
Progettato per ogni professionista
Indirizzato ai professionisti in cerca di un sistema digitale caratterizzato da una vasta gamma di programmi e proiezioni, Orthoralix 9200 DDE, per la sua estrema facilità d'uso è adatto anche ad utenti meno esperti; è sufficiente la pressione di pochi tasti e il sistema automaticamente si occupa di tutto il resto.
Orthoralix 9200 DDE è disponibile in due versioni: Standard e Plus. Entrambe le versioni possono essere dotate del nuovo braccio digitale cefalometrico.
Versatilità digitale
Sensore CCD
Orthoralix 9200 DDE acquisisce tutte le proiezioni panoramiche, dento-maxillo facciali, transcan e cefalometriche in tempo reale con la migliore qualità digitale e con una considerevole riduzione della dose impartita al paziente rispetto alla tradizionale pellicola. Il nuovo sensore, estremamente compatto, consente il massimo comfort nell'utilizzo e l'aggancio elettromeccanico assicura la massima precisione e sicurezza durante le operazioni di aggancio e sgancio al modulo di supporto. Grazie alla sua presa di connessione LAN, Orthoralix 9200 DDE si connette direttamente alla struttura di rete esistente, permettendo la sua gestione da differenti PC o workstation.
Ampia gamma programmi e proiezioni digitali
La versione Orthoralix 9200 DDE Standard include non solo i programmi di radiologia panoramica di base, ma anche programmi per dentatura frontale:; ad esempio una vista anteriore che presenta una proiezione degli elementi frontali con macchia focale più profonda rispetto ad una panoramica standard, un programma ottimale per pazienti con malocclusione e durante i trattamenti ortodontici.
Oltre alle proiezioni di radiologia di base sono incluse: speciali proiezioni per radiologia Dento-Maxillo-Facciale e le proiezioni per implantologia Transcan, fondamentali per lo studio di una affidabile e precisa implantologia.
Cliccare qui per maggiori informazioni sui programmi di radiologia panoramica, dento-maxillo-facciale e Transcan.
Proiezioni digitali cefalometriche
Orthoralix 9200 DDE Ceph dispone di un set completo di proiezioni digitali cefalometriche per vari tipi di paziente.
Sono possibili riprese in latero-laterale (LL), antero- posteriore (AP), postero-anteriore (PA), submento-verticale (SV) e Carpo.
Per le proiezioni Latero-Laterali uno speciale filtro tessuti molli è fornito a corredo, permettendo il facile adattamento a qualsiasi profilo facciale.
Facilità operativa
Multi-proiezione
Come tutta la famiglia Orthoralix anche Orthoralix 9200 DDE è caratterizzato da un alto grado di flessibilità nell'esecuzione di proiezioni radiografiche.
Combinando la rotazione dell'assieme radiogeno, in cui sono collocati il generatore radiogeno in corrente continua ad alta frequenza e il recettore d'immagine (sensore CCD), con il suo movimento lungo due direzioni, avanti-indietro e destra-sinistra, è possibile seguire qualunque percorso desiderato rendendo possibile l'esecuzione di tutte le viste radiografiche.
Posizionamento Paziente
Il sistema di posizionamento paziente, garantito da un efficiente sistema di centratura ottico a tre luci e assistito da un ultrasensibile sistema di movimento completamente motorizzato, assicura la massima precisione nel posizionamento del paziente. Le limitate operazioni richieste all'utente avvengono con paziente fermo, per la massima semplicità operativa ed il miglior comfort.
Tutti gli accessori in dotazione combinano semplicità, robustezza e precisione: per le indagini specialistiche, esami Transcan e ATM, sono previsti specifici strumenti di posizionamento.
Controllo Automatico dell’Esposizione (AEC)
Per assicurare la massima qualità diagnostica, il Sistema Automatico dell’Esposizione viene fornito di serie su tutti i sistemi Orthoralix 9200 DDE. In aggiunta alla scelta della taglia del paziente, il sistema AEC misura durante la scansione la dose residua e permette una correzione in tempo reale dei fattori espositivi preselezionati, ottenendo così il miglior equilibrio tra densità e contrasto sull’immagine.
Il sistema automatico dell'esposizione è attivo sia per le proiezioni panoramiche che cefalometriche.
Connessione LAN
La connessione LAN permette di collegare Gendex Orthoralix 9200 DDE direttamente alla struttura di rete esistente.
A seconda delle necessità dell’utente, diversi sistemi Gendex Orthoralix 9200 DDE possono essere connessi alla rete o in modalità autonoma, permettendo la loro gestione da differenti PC o workstations.
gendex, kavo, orthoralix, visualix, hdi, ehd, fwt, endorale, videocamera, telecamera,
sensore, radiovisiografia, radiovideografia, centralina, digitale, digital, imaging,
denoptix, qst, 8500, 9200, ceph, teleradiografia, cefalometria, dde, cone beam, tac,
2d, 3d, 2-d, 3-d, vixwin, vixwin pro, vixwin platium, gxbc-500, gxc-300, paroramico,