Procom Computer s.a.s.

Cerca

Vai ai contenuti

Menu principale:


Gendex Orthoralix 8500 DDE

Dentale > Kavo - Gendex > Panoramici

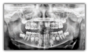
Gendex panoramico digitale Orthoralix 8500 DDE

Orthoralix 8500 DDE - La nuova generazione di panoramici Gendex

Partendo dal successo del pluri-premiato Orthoralix 8500 DDE, Gendex è lieta di presentare la nuova generazione di sistemi per radiografia panoramica. Il nuovo Orthoralix 8500 DDE offre ai professionisti maggiori prestazioni con un investimento di straordinaria convenienza. Caratteristiche come le proiezioni ATM frontali e laterali, gli ausili per il posizionamento del paziente ulteriormente migliorati e la nuova tecnologia di movimentazione articolata KINEMAGIC (TM) rendono questo sistema ideale per ogni studio dentistico.


Date quindi il benvenuto ad una nuova generazione di sistemi panoramici - solo da Gendex!

La tecnologia più avanzata

* Cinematica articolata e precisa riproduzione della reale morfologia del paziente
* Colonna telescopica motorizzata che rende l’assieme sistema estremamente compatto
* Il sensore digitale basato su tecnologia CCD acquisisce e riproduce immagini di alta qualità


Gendex Orthoralix 8500 DDE vanta un design moderno che combina un’estrema funzionalità e semplicità d’uso con una gradevole estetica high-tech veramente accattivante, che non mancherà di valorizzare il vostro studio. Le immagini sono acquisite in modalità digitale mediante sensore CCD che la più recente ed avanzata tecnologia mette a disposizione. Il sistema dispone di quattro proiezioni: panoramica adulto, panoramica bambino, ATM frontale e ATM laterale.


Con il nuovo 8500 DDE, il corretto posizionamento dello strato a fuoco è reso possibile grazie all’esclusiva Tecnologia di Movimento Articolato KINEMAGIC (TM).Questa funzione di identificazione della morfologia paziente adatta con precisionelo strato a fuoco sull’area anatomica d’interesse, garantendo un’immagine dall’elevato contenuto diagnostico dove l’ingrandimento è costante su tutta l’immagine radiografica.


Qualità d’immagine superiore
* I più recenti algoritmi di elaborazione informatica per immagini radiografiche più nitide e definite
* La macchia focale più piccola del settore di soli 0,4 mm produce immagini ultra-nitide
* La tecnologia di movimentazione articolata KINEMAGIC garantisce un ingrandimento costante lungo tutta l’esposizione


Posizionato correttamente il paziente, Orthoralix 8500 DDE per mezzo della movimentazione multi-motorizzata dell’assieme monoblocco/sensore è in grado di generare sofisticate proiezioni specifiche per l’obiettivo diagnostico, producendo così immagini fedeli e nitide dell’intera regione dento-maxillo-facciale. L’ingrandimento si mantiene costante durante tutta l’esposizione garantendo immagini panoramiche caratterizzate da una minima distorsione radiografica.


Le immagini del nuovo Orthoralix 8500 DDE sono nitide e definite anche grazie alla piccola macchia focale del tubo radiogeno (solo 0,4 mm la più piccola nel settore). Utilizzando i più recenti algoritmi di elaborazione delle immagini digitali applicati ai dati che compongono la panoramica di questo sistema di nuova generazione, si ottengono radiografie che riproducono con precisione aree anatomiche critiche dei pazienti.


Facile da usare - facile da integrare
* Tripla luce laser di riferimento per massima precisione di posizionamento paziente
* Connettività LAN integrata che consente di accedere alle immagini da ogni PC connesso alla rete
* Dimensioni compatte per minimo ingombro, ideali per ogni tipo di studio


L’integrazione nel vostro studio è un gioco da ragazzi. La struttura compatta dal limitato ingombro e la colonna telescopica motorizzata permettono di collocare Orthoralix 8500 DDE in un qualsiasi punto dello studio - anche in condizioni di spazio critiche.


Provvisto di comoda connettività LAN integrata, Orthoralix 8500 DDE si connette immediatamente alla vostra rete senza necessità di dover installare schede di controllo dedicate. Questo permette un accesso istantaneo alle immagini acquisite da un qualsiasi computer in rete, con notevole risparmio di tempo e conseguente aumento dell’efficienza produttiva.



gendex, kavo, orthoralix, visualix, hdi, ehd, fwt, endorale, videocamera, telecamera,
sensore, radiovisiografia, radiovideografia, centralina, digitale, digital, imaging,
denoptix, qst, 8500, 9200, ceph, teleradiografia, cefalometria, dde, cone beam, tac,
2d, 3d, 2-d, 3-d, vixwin, vixwin pro, vixwin platium, gxbc-500, gxc-300, paroramico,









Menu di sezione:


Torna ai contenuti | Torna al menu